爱牙热线 400-8811-757(社保定点医疗机构)
省市医保定点单位
植骨术牙齿种植专科微创种植即刻种植
自锁矫治器隐形矫治牙齿矫正专科陶瓷矫治器舌侧矫治乳牙反合矫治金属矫治器MRC早期预防矫治
桩核牙齿美白/修复牙齿美白贴面全瓷牙嵌体烤瓷牙活动假牙
儿童牙齿专科防龋治疗恒牙助萌乳牙拔除
运动保护牙套牙龈出血治疗夜磨牙防治口腔治疗保健补牙超声波洁牙根管治疗
无痛拔牙微创拔牙
牙齿种植
牙齿矫正
美白修复
儿牙专科
牙齿治疗
微创拔牙
医生介绍
项目案例
金琴小课堂
最新活动
环境展示
先进设备
消毒安全
荣誉证书
合作伙伴
品牌介绍
企业文化
新闻动态
门诊导航
加入我们
预约挂号
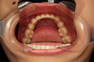
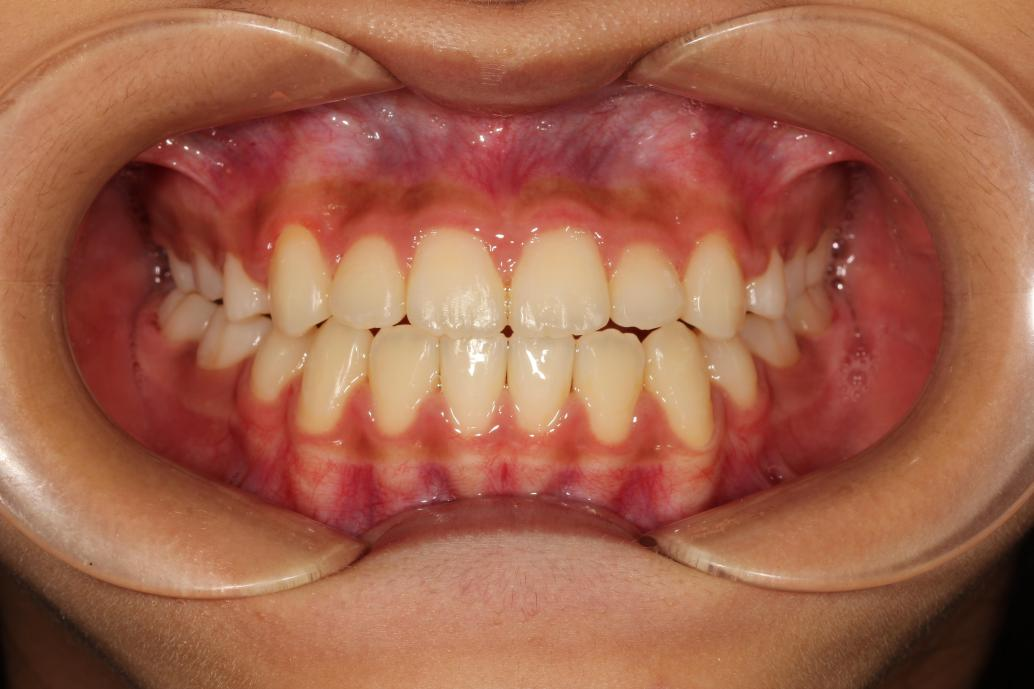
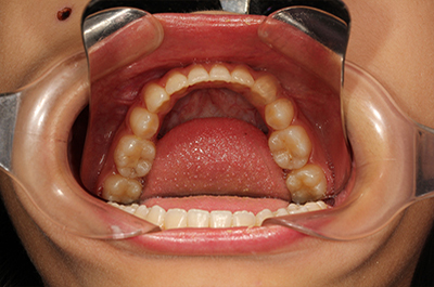
牙列错乱拥挤成功矫治案例
患者情况:因牙列严重错乱拥挤,在相亲与求职路上屡屡受阻,决定重塑美好形象。
就诊前:牙齿排列错乱门牙外凸十分严重
就诊方案:矫牙黑科技_____iTero口扫仪+美国进口隐适美矫治
什么是矫牙黑科技——iTero口扫仪?
iTero 口扫仪落户金琴口腔,该扫描设备5分钟左右即可准确获取口内的信息数据,相对传统的“咬模型”方式,舒适感明显大幅提高,精准度达20微米,对医生来说很容易把控,扫描完在几分钟内就可初步预览矫正,更便于医生和顾客间进行直接、深度的方案沟通。
隐适美(Invisalign) 丑牙悄然蜕变 矫正全程隐形
通过美国(FDA)+中国(SFDA)+国际(ISO)认证
隐适美(Invisalign)
它是由Align Technology公司在北美设计及制造的隐形牙齿矫正器,它既能满足矫正牙齿的需要,又同时避免了传统托槽矫正能看到“钢牙”的缺点,患者只需要一幅幅透明牙套的佩戴,就能逐渐将不整齐的牙齿排列整齐。
矫治后:牙齿排列整齐调整牙齿的咬合关系
患者感言:“朋友圈晒照更勤了,接住开挂的未来,期待更多美好的遇见与逆袭!”