爱牙热线 400-8811-757(社保定点医疗机构)
省市医保定点单位
植骨术牙齿种植专科微创种植即刻种植
自锁矫治器隐形矫治牙齿矫正专科陶瓷矫治器舌侧矫治乳牙反合矫治金属矫治器MRC早期预防矫治
桩核牙齿美白/修复牙齿美白贴面全瓷牙嵌体烤瓷牙活动假牙
儿童牙齿专科防龋治疗恒牙助萌乳牙拔除
运动保护牙套牙龈出血治疗夜磨牙防治口腔治疗保健补牙超声波洁牙根管治疗
无痛拔牙微创拔牙
牙齿种植
牙齿矫正
美白修复
儿牙专科
牙齿治疗
微创拔牙
医生介绍
项目案例
金琴小课堂
最新活动
环境展示
先进设备
消毒安全
荣誉证书
合作伙伴
品牌介绍
企业文化
新闻动态
门诊导航
加入我们
预约挂号
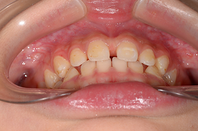
牙列不齐矫正案例
患者情况:
患者自述性格比较内向,上牙稀疏多年,不敢开口大笑,因担心治疗效果和治疗费用一直没矫治。
后来经亲戚介绍后前往金琴口腔就诊。
就诊前:上牙牙列稀疏尤其门牙缝隙较大
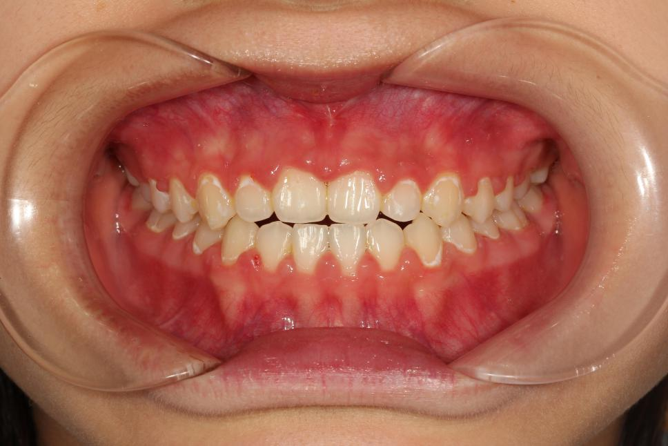
就诊方案:数字化隐形矫正:
什么是数字化隐形矫正技术
金琴口腔引进隐形矫正,是本世纪口腔正畸领域具革命性的创新技术,集口腔美学、计算机科学、生物力学、临床口腔医学、3D打印技术及材料学等多学科于一体,可预先浏览计算机模拟矫正过程、矫正效果,并精确定制透明矫治器,无托槽,可摘戴,舒适美观,矫正全程隐形。
_________数字化隐形矫正示意图
适合哪些人群:
牙列间隙|牙列轻、中、重度拥挤|牙列错位|牙弓前突|前牙深覆颌|前牙深覆盖|前牙轻、中度反颌|前牙轻度开颌|后牙锁颌等不同的畸形牙问题
矫治后:牙列排列整齐绽放自信笑容