爱牙热线 400-8811-757(社保定点医疗机构)
省市医保定点单位
植骨术牙齿种植专科微创种植即刻种植
自锁矫治器隐形矫治牙齿矫正专科陶瓷矫治器舌侧矫治乳牙反合矫治金属矫治器MRC早期预防矫治
桩核牙齿美白/修复牙齿美白贴面全瓷牙嵌体烤瓷牙活动假牙
儿童牙齿专科防龋治疗恒牙助萌乳牙拔除
运动保护牙套牙龈出血治疗夜磨牙防治口腔治疗保健补牙超声波洁牙根管治疗
无痛拔牙微创拔牙
牙齿种植
牙齿矫正
美白修复
儿牙专科
牙齿治疗
微创拔牙
医生介绍
项目案例
金琴小课堂
最新活动
环境展示
先进设备
消毒安全
荣誉证书
合作伙伴
品牌介绍
企业文化
新闻动态
门诊导航
加入我们
预约挂号
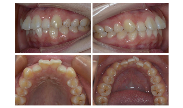
龅牙成功矫治案例
患者情况:被叫龅牙妹多年,龅牙拉低整个颜值
就诊前:多年龅牙迟迟没治疗,赶上金琴的矫牙优惠活动就报名参加了。
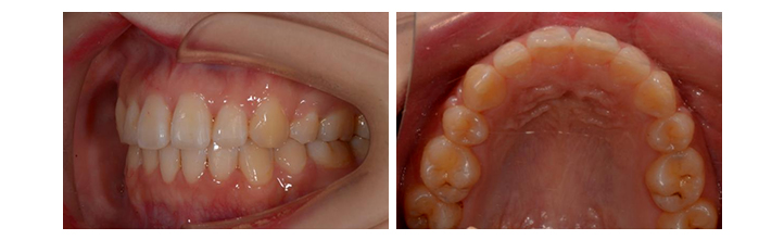
就诊方案:时代天使隐形矫正
患者采用隐形矫正方案___angelalign pro 时代天使冠军版
时代天使冠军版:双膜矫正器,就是每一步移动包含两个矫正器,第一周佩戴的矫正器薄一些,弹性较大,初始矫正力更柔和,矫正体验更舒适;第二周佩戴的矫正器厚一些,弹性较小,矫治力得到补充和维持,有利于牙齿移动的确切实现和牙齿位置的精确控制。
时代天使冠军版三大优势:
01、双膜模式:薄膜佩戴舒适,快速启动,厚膜精准控制
02、真正的每周一换:力量充分释放,效果更好
03、效率更高 平均提升20%-30%的矫治效率
___angelalign时代天使隐形矫治器 为海量用户打造美丽自信的微笑
angelalign pro 时代天使冠军版,集正畸科技于一身, 时代天使经典版 ,专为国人量齿定造的经典之作。 COMFOS ,年轻人时尚新风向。 时代天使儿童版 ,提供全方位早期矫治解决方案。
矫治后:牙列整齐排列,前牙内收,覆盖正常,五官更协调精致了
患者感言:瞒着家人和闺蜜把牙整好了,呵呵,下次谁再叫我龅牙妹,我就和谁绝交!