爱牙热线 400-8811-757(社保定点医疗机构)
省市医保定点单位
植骨术牙齿种植专科微创种植即刻种植
自锁矫治器隐形矫治牙齿矫正专科陶瓷矫治器舌侧矫治乳牙反合矫治金属矫治器MRC早期预防矫治
桩核牙齿美白/修复牙齿美白贴面全瓷牙嵌体烤瓷牙活动假牙
儿童牙齿专科防龋治疗恒牙助萌乳牙拔除
运动保护牙套牙龈出血治疗夜磨牙防治口腔治疗保健补牙超声波洁牙根管治疗
无痛拔牙微创拔牙
牙齿种植
牙齿矫正
美白修复
儿牙专科
牙齿治疗
微创拔牙
医生介绍
项目案例
金琴小课堂
最新活动
环境展示
先进设备
消毒安全
荣誉证书
合作伙伴
品牌介绍
企业文化
新闻动态
门诊导航
加入我们
预约挂号
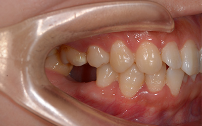
患者信息:刘女士 年龄:20岁
口腔症状:单颗牙缺失
检查结果:单颗牙缺失,牙齿排列整齐完好,无龋齿等症状,全口牙CT显示根尖无异常。
牙齿补救方案:通过口腔数码内窥镜及口腔全景机,精确定位缺牙部位,运用先进的微数字化种植牙技术进行种植。
美牙后:牙成功修复,牙齿整齐洁白。
美牙技术:微数字化即刻种植牙
什么是种植牙?种植牙是最近几年来比较流行的修复方法,被人们誉为人类的"第三副牙齿",受到了很多人的喜爱,无论是老年人还是年轻人都可以做,现在有些年轻人不注意保护好自己的牙齿,牙齿坏了,也想去医院做种植牙。
种植牙是每个人都可以去做吗?种植牙的适应症有哪些?
只要缺失牙的患者都是可以做种植牙的,不管是单颗牙齿缺失、多颗牙齿缺失、全口牙齿缺失都是可以做种植牙的,但是种植牙毕竟是一个小的手术,必须经过医生诊断后方可进行,还要看缺牙位置、牙槽骨、身体健康状况等。如果长期牙齿缺失做种植牙会有一定的危害的。
种植牙的治疗过程是怎么样的:
第一步:植入种植体:种植牙采用微创技术,先切开缺牙部位的牙根,然后将钉植入,手术后7天拆线,拆线后等待二期手术。
第二步:等待伤口愈合:种植牙与骨结合后进行,手术也是无痛微创的,在植入种植体的相对应的位置切一个小口,暴露种植体上端后再安装上牙冠。
第三步:镶牙冠:等到1——3个月,骨组织完全愈合后在进行二次手术,拆开,然后镶一个临时的牙冠先带着。植假牙修复后,第一年要在3个月、6个月时复查一次,以后最好每年都到医院进行检查。
种植牙虽然是一个很小的手术,但是我们也要去正规的医院做这样才可以保证种植牙质量,种植牙首选成都金琴口腔。
成都金琴口腔采用的是微数字化即刻种植技术,根据患者情况来制作出种植牙,比起其它的传统种植牙技术更加的准确无误,材料相溶性好,非常牢固稳定,愈合的速度也很快,而且种植牙时间也是相当快的,单冠种植牙只需要1个小时就可以完成了。